مقالات


سوالات متداول در مورد پکتوس کاریناتوم (Pectus carinatum) یا سینه کبوتری

سوالات متداول در مورد پکتوس کاریناتوم (Pectus carinatum) یا سینه کبوتری

پکتوس کاریناتوم با برجستگی جناغ سینه شناخته می شود که در نتیجه رشد غیر طبیعی و نابرابر غضروف دنده ای که دنده ها را به جناغ متصل می کند رخ می دهد. در این بیماری غضروف های دنده ای به جای رشد صاف در امتداد دیواره قفسه سینه، به سمت بیرون رشد می کنند و جناغ را به جلو می برند.

سوالات متداول در مورد ناهنجاری پکتوس اکسکاواتوم یا همان سینه قیفی شکل

سوالات متداول در مورد ناهنجاری پکتوس اکسکاواتوم یا همان سینه قیفی شکل

سوالات متداول در مورد ناهنجاری پکتوس اکسکاواتوم یا همان سینه قیفی شکل (Pectus Excavatum)
پکتوس اکسکاواتوم یک اختلال مادرزادی است که باعث می شود قفسه سینه ظاهری فرورفته یا غار شکل پیدا کند. این شایع ترین ناهنجاری مادرزادی دیواره قفسه سینه در کودکان است.

ناهنجاری های دیواره قفسه سینه

ناهنجاری های دیواره قفسه سینه

بدشکلی های دیواره قفسه سینه یا رشد و ظاهر غیر طبیعی قفسه سینه می تواند از خفیف تا شدید متفاوت باشد. این بد شکلی ها مادرزادی هستند و ممکن است در بدو تولد یا بعد از آن در کودکی آشکار شوند. صرف نظر از این، شدت ناهنجاری معمولاً در دوران بلوغ به سرعت پیشرفت می کند.

سوالات متداول در مورد واریس در دستگاه تناسلی زنانه (واریکوسیته فرج)

سوالات متداول در مورد واریس در دستگاه تناسلی زنانه (واریکوسیته فرج)

برای حمایت از جنین در حال رشد، در بدن زن باردار، تغییراتی صورت می گیرد. این تغییرات باعث می شود رگ ها در ناحیه تناسلی تحت فشار قرار گرفته و متورم شوند. این رگ ها ظاهر ناخوشایندی دارند اما معمولاً حدود شش هفته بعد از زایمان و بدون درمان از بین می روند.

سوالات متداول در مورد واریس مری

سوالات متداول در مورد واریس مری

واریس مری چیست؟واریس مری رگ های بزرگ شده در پوشش مری هستند. از آنجایی که این رگ های واریسی دارای دیواره های ضعیفی هستند می توانند دچار پارگی و خونریزی شوند و مشکل جدی برای فرد ایجاد کنند. خونریزی که ناشی از پارگی سیاهرگ است می تواند ناگهانی و شدید بوده و زندگی فرد را تهدید کند.

پیوند مدفوع

پیوند مدفوع

پیوند مدفوع روشی برای گرفتن مدفوع از یک اهدا کننده سالم و وارد کردن آن به دستگاه گوارش بیمار است. این روش می تواند عفونتی به نام کلستریدیوم دیفیسل (Clostridium difficile) یاC. diff را با افزودن باکتری های سالم به روده گیرنده کنترل کند. این روش را می توان در کودکان و بزرگسالان انجام داد.

سوالات متداول در مورد بیماری هیداتید (Hydatid Disease)

سوالات متداول در مورد بیماری هیداتید (Hydatid Disease)

بیماری هیداتید چیست؟بیماری هیداتید یک عفونت انگلی است که توسط تخم های کرم نواری ایجاد می‌شود. کرم های نواری معمولاً در میزبان هایی مانند گوسفند و سگ زندگی می کنند. اما اگر انسان به طور تصادفی هر چیزی که آلوده به انگل است را بخورد یا بنوشد، ممکن است به این بیماری مبتلا شود.

مشکلات تیروئید در زنان

مشکلات تیروئید در زنان

وظایف غده تیروئیدغده تیروئید یکی از مهمترین غده های بدن است. این غده با ترشح هورمون های تیروکسین (T4)، تری یدوتیرونین (T3) و کلسی تونین، متابولیسم و رشد بدن را تنظیم می کند. مانند هر عضو دیگری از بدن تیروئید نیز در زنان و مردان دچار اختلالاتی می شود. در این مقاله قصد داریم تا اثر مشکلات تیروئید را بر روی زنان و در دوره های مختلف زندگی آن ها بررسی کنیم.

سوالات متداول در مورد ندول های تیروئید

سوالات متداول در مورد ندول های تیروئید

ندول تیروئید چیست؟اصطلاح ندول یا گره های تیروئید به رشد غیرطبیعی سلول های تیروئید اشاره دارد که توده ای را در غده تیروئید تشکیل می دهد و می تواند جامد بوده یا پر از مایع و یا حاوی هر دو باشد. ندول ها ممکن است بصورت منفرد یا دسته ای در غده تیروئید باشند.

سوالات متداول در مورد کم کاری تیروئید (Hypothyroidism)

سوالات متداول در مورد کم کاری تیروئید (Hypothyroidism)

کم کاری تیروئید چیست؟کم کاری تیروئید شایع ترین نوع اختلال تیروئید است. در این بیماری غده تیروئید که وظیفه تولید هورمون تیروئید را دارد به اندازه کافی فعال نیست. اگر غده کم کار باشد، ممکن است هورمون تیروئید کافی تولید نکند.

سوالات متداول در مورد سرطان تیروئید

سوالات متداول در مورد سرطان تیروئید

نقش غده تیروئید در بدن چیست؟غده تیروئید در دو طرف نای و کمی در جلوی گردن قرار دارد. این غده هورمون تیروئید ترشح می کند که عملکرد های بدن مانند ضربان قلب، سطح انرژی و وزن را کنترل می کند. هورمون دیگری که توسط غده تیروئید تولید می شود کلسی تونین است که به بدن در کنترل تعادل کلسیم کمک می کند.

سوالات متداول در مورد بیماری سلیاک (Celiac Disease)

سوالات متداول در مورد بیماری سلیاک (Celiac Disease)

بیماری سلیاک چیست؟بیماری سلیاک یک مشکل گوارشی است که به روده کوچک شما آسیب می رساندو بدن شما را از دریافت مواد مغذی غذا باز می دارد. سلیاک در اصل یک بیماری خود ایمنی ژنتیکی است که در آن بیمار به گلوتن حساس است و مصرف آن منجر به آسیب به روده کوچک می شود.

کولیت زخمی

کولیت زخمی

کولیت زخمی چیست؟
کولیت زخمی یا کولیت اولسراتیو یک بیماری التهابی روده است که در آن پوشش داخلی روده بزرگ و رکتوم ملتهب می شود. کولیت اولسراتیو با اسهال، درد شکم و وجود خون در مدفوع مشخص می شود. این بیماری ممکن است از نظر میزان تحت تاثیر قرار گرفتن روده بزرگ و شدت متفاوت باشد.

زخم های گوارشی چه هستند؟

زخم های گوارشی چه هستند؟

زخم های گوارشی زخم هایی هستند که در پوشش معده یا قسمت اول روده کوچک (اثنی عشر) قرار دارند. اگر زخم در معده باشد، به آن زخم معده می گویند. اگر زخم در دوازدهه باشد به آن زخم اثنی عشر می گویند.این نوع زخم ها نسبتاً شایع هستند.

گاستروانتریت ویروسی (Viral Gastroenteritis) یا آنفلوآنزای معده stomach flu))

گاستروانتریت ویروسی (Viral Gastroenteritis) یا آنفلوآنزای معده stomach flu))

گاستروانتریت ویروسی چیست؟گاستروانتریت ویروسی یک بیماری معده (شامل اسهال و استفراغ) است که توسط ویروس ایجاد می شود. این بیماری اگر چه ممکن است در تمام طول سال رخ دهد، اما بیشتر در زمستان گزارش می شود و براحتی در بین افرادی که با هم زندگی می کنند سرایت پیدا می کند.

سوالات متداول درباره سوء هاضمه

سوالات متداول درباره سوء هاضمه

سوء هاضمه چیست؟سوء هاضمه (دیس پپسی) درد یا احساس سوزش در قسمت بالای شکم است. این مشکل در بزرگسالان شایع است. سوء هاضمه با سوزش سر دل یکی نیست و ربطی به اسید معده ندارد. سوزش سر دل زمانی است که اسید از معده خارج شده و به مری باز می گردد. شما می توانید همزمان علائم سوء هاضمه و سوزش سر دل را داشته باشید.

سوالات متداول درباره معده و بیماری های شایع مربوط به آن

سوالات متداول درباره معده و بیماری های شایع مربوط به آن

معده یک اندام عضلانی به شکل J انگلیسی است که غذا را هضم می کند. معده بعد از دریافت غذا منقبض می شود و اسید ها (شیره گوارشی) و آنزیم هایی (برای انجام واکنش های شیمیایی) را تولید می کند که غذا را تجزیه می کنند. هنگامی که غذا را تجزیه کرد، آن را به روده کوچک منتقل می کند.

سوالات متداول در مورد سرطان معده

سوالات متداول در مورد سرطان معده

با تشکیل سلول های بدخیم (سرطانی) در پوشش معده، فرد دچار سرطان معده می شود. 90 درصد موارد سرطان معده را نوع آدنوکارسینوم ها (سلول های غدد مخاط معده مبتلا می شوند) تشکیل می دهند. سارکوم (ناشی از بافت همبند) و لنفوم (لنفوسیت ها مورد حمله قرار می گیرند) معده شیوع کمتری دارند. سرطان معده بر اساس نوع بافت و محل آن در معده طبقه بندی می شود.

علایم سرطان مری چیست؟

علایم سرطان مری چیست؟

اکثر سرطان های مری در مراحل اولیه علائمی را به همراه ندارند. با پیشرفت سرطان مشکل در بلع غذا و بعد از آن در نوشیدن مایعات، پیش می آید. البته برخی دیگر از علایم شایع عبارتند از درد قفسه سینه، کاهش بی دلیل وزن، سوزش سردل و سوء هاضمه، گرفتگی صدا و سرفه های مداوم است

عمل جراحی پاراتیروئید (پاراتیروئیدکتومی)

عمل جراحی پاراتیروئید (پاراتیروئیدکتومی)

در عمل جراحی پاراتیروئید که پاراتیروئیدکتومی نام دارد، یک یا چند غده تیروئید برداشته میشوند. غدد پاراتیروئید، چهار غده به اندازه یک دانه برنج هستند که در پشت غده تیروئید در گردن، قرار دارند. این غدد وظیفه تولید هورمون پاراتیروئید (PTH) را بر عهده دارند که مقدار کلسیم در بدن را تنظِم میکند.

آزمایشها و نحوه تشخیص سرطان کبد

آزمایشها و نحوه تشخیص سرطان کبد

سرطان کبد با معاینه و آزمایشهای مختلف، تشخیص داده میشود. معمولا ابتدا آزمایش خون و سونوگرافی تجویز میشود. همچنین سی تی اسکن یا ام آر آی نیز ممکن است توصیه شود. در برخی موارد نمونه برداری (بیوپسی) نیز ممکن است لازم باشد. پس از تشخیص دقیق و تعیین مرحله سرطان، برنامه ریزی درمانی انجام میشود.

همه چیز در مورد سرطان کبد

همه چیز در مورد سرطان کبد

کبد به پاکسازی خون، گوارش غذا و ذخیره قند (برای مصرف در مواقعی که به انرژی نیاز دارید) کمک میکند. معمولا سلولهای کبد کار خود را به درستی انجام میدهند تا زمانی که عمرشان به سر می آید یا صدمه می بینند. سپس می میرند و سلولهای جدید جای آنها را میگیرند. این کار بسیار منظم و مرتب صورت میگیرد.

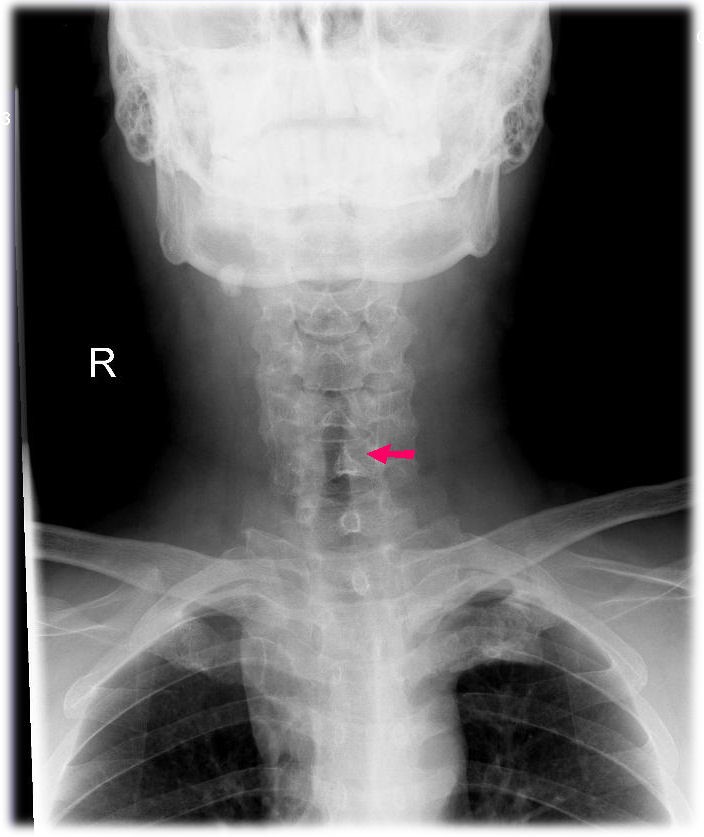
استنت گذاری نای

استنت گذاری نای

بسیاری از بیماریها یا عوارض آنها باعث تنگ شدن یا مسدود شدن مسیر تنفسی میشود. این باعث میشود مشکل تنفسی پیدا کنید. استنت یک لوله خالی است که در مجرای هوا قرار داده میشود تا آن را باز نگه دارد و به تنفس راحت تر کمک کند.

درمان انسداد نای با عمل اسلاید تراکئوپلاستی

درمان انسداد نای با عمل اسلاید تراکئوپلاستی

اسلاید تراکئوپلاستی (Slide tracheoplasty ) یک عمل جراحی است که برای بهبود جریان هوا در مجاری تنفسی کودک صورت میگیرد. این عمل جراحی پیچیده است اما اگر توسط جراحات ماهر و باتجربه صورت بگیرد، خطرات و عوارض آن بسیار کمتر می شود.

گسترش سرطان به کبد یا متاستاز کبدی

گسترش سرطان به کبد یا متاستاز کبدی

متاستاز کبدی چیست؟ متاستاز کبدی به گسترش تومور سرطانی که در بخش دیگری از بدن شروع شده است به کبد، گفته میشود. به متاستاز کبدی، سرطان کبد ثانویه هم میگویند. سرطان کبد اولیه سرطانی است که منشا آن کبد است و بیشتر در کسانی دیده میشود که عوامل زمینه سازی مانند هپاتیت یا سیروز کبدی دارند.

عمل جراحی برداشتن بخشی از نای

عمل جراحی برداشتن بخشی از نای

نای لوله باریکی است که حدود 10 سانتیمتر طول دارد و قطر آن کمتر از 2.5 سانتیمتر است و حنجره را به ریه متصل میکند. نای درست از زیر حنجره شروع میشود و تا پشت استخوان جناغ ادامه می یابد. در آنجا به دو لوله کوچکتر به نام برونش (نایژه) تقسیم میشود که هر یک به سمت یکی از ریه ها میروند و در آنجا شاخه شاخه میشوند.

درمان سرطان: عمل جراحی درمان متاستاز کبدی

درمان سرطان: عمل جراحی درمان متاستاز کبدی

متاستاز کبدی چیست؟ متاستاز کبدی به مرحله ای از سرطان بخشهای دیگر بدن گفته میشود که به کبد سرایت کرده (متاستاز داده) است. در این مرحله درمان بسیار مشکل است. اما با انتخاب رویکرد مناسب، میتوان رهایی از بیماری و حتی درمان قطعی را برای برخی بیماران میسر ساخت.

عمل جراحی کبد

عمل جراحی کبد

بهترین گزینه برای درمان قطعی سرطان کبد، برداشتن تومور طی عمل جراحی و یا پیوند کبد است. اگر کل محدوده سرطان در کبد کامل برداشته شود، بهترین حالت ممکن برای دورنمای بیماری است. در مواردی که سرطان کبد کوچک است ممکن است با انواع دیگر درمانها مانند پرتو درمانی یا ابلیشن بتوان آن را درمان کرد.

انواع مختلف بیماریهای نای با چه روشهایی درمان میشوند؟

انواع مختلف بیماریهای نای با چه روشهایی درمان میشوند؟

نای (windpipe یا trachea) لوله ای است که از غضروف تشکیل شده و درست از زیر حنجره شروع میشود و پایین رفته و تا پشت استخوان جناغ میرسد و سپس به دو لوله کوچکتر به نام برونش یا نایژه تقسیم میشود که هر یک از آنها به یک شش میرسند. وظیفه نای انتقال هوا به ریه است.

درباره‌ی نویسنده
دکتر بهزاد رحمانی
M.D
F.C.C.P
فوق تخصص جراحی ریه وقفسه صدری
(توراکس)
عضو کالج جراحان سینه آمریکا  
متخصص جراحی عمومی
(گوارش-گواتر)
اطلاعات بیش‌تر
دسته‌بندی
عضویت خبرنامه
عضو خبرنامه ماهانه وب‌سایت شوید و تازه‌ترین نوشته‌ها را در پست الکترونیک خود دریافت کنید.
آدرس پست الکترونیک خود را بنویسید.
کمی صبر کنید...
برچسب‌ها
موردی وجود ندارد.